Menu
CONTACT US phone phone 01420 87756
abouts gold shape1

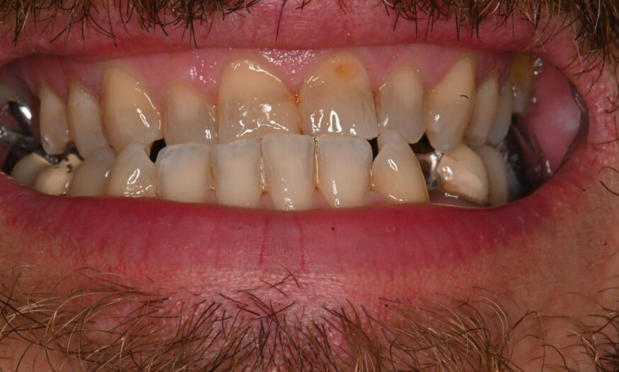
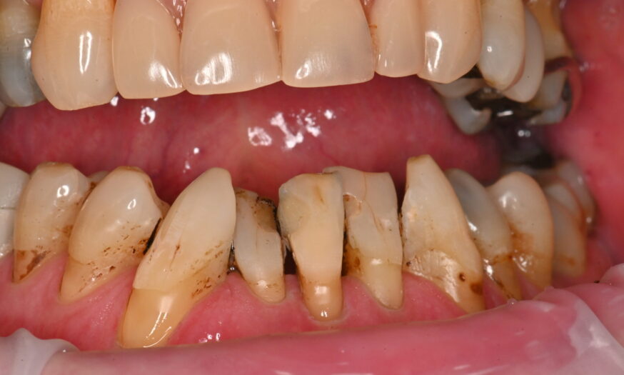
Composite bonding

This patients smile was improved by some simple composite bonding to the lowers. This has…

READ MORE

Full arch replacement

This patient was a complete upper and lower replacement case. The failing teeth were removed.…

READ MORE

Composite bonding and Crowns

This smile was transformed with composite bonding and replacement crowns and bridges

READ MORE

AIR FLOW

The teeth were cleaned with the AIR FLOW and polished. An amazing result.

READ MORE

Case 1 - SureSmile

This was a case of clear aligners followed by composite bonding, completed within 6 months.

READ MORE

Case 2 - Dental Implants / Teeth Whitening & SureSmile

Clear aligners to align the teeth followed by Zoom whitening and a single tooth implant…

READ MORE

Nick and the team- thank you from the bottom of my heart. Your professionalism, patience and kindness are second to none. You put me at...

Thank you, treatment is still ongoing, everything going well so far, the staff are very welcoming, helpful and friendly which makes the dental visit a...

Nick was as lovely as ever. Very reassuring and kind.

I feel much more at ease now thinking about trips to the dentist and not going into a complete meltdown from fear.

Very happy with the sedation- I could not have endured the procedure without it!

He has helped me to overcome my fear of the dentist – he has always been so calm, non-judgemental and encouraging. Before him, I spent...

VIEW ALL REVIEWS
quotes1 white plain icon
Treatment - NB Dental
Hover Image Logo

Facial Aestehtics

READ MORE
Treatment - NB Dental
Hover Image Logo

Snoring and OSA

READ MORE
Treatment - NB Dental
Hover Image Logo

General Dentistry

We ensure an exceptional patient journey – from start to finish.

READ MORE
Treatment - NB Dental
Hover Image Logo

Cosmetic Dentistry

Our tailored restorative and cosmetic treatments are designed just for you.

READ MORE
Treatment - NB Dental
Hover Image Logo

Teeth Straightening

Satisfaction and positive confidence with SureSmile.

READ MORE
Treatment - NB Dental
Hover Image Logo

Dental Implants

The number one solution for broken smiles.

READ MORE
Treatment - NB Dental
Hover Image Logo

Facial Aestehtics

READ MORE
Treatment - NB Dental
Hover Image Logo

Snoring and OSA

READ MORE
Treatment - NB Dental
Hover Image Logo

General Dentistry

We ensure an exceptional patient journey – from start to finish.

READ MORE
Treatment - NB Dental
Hover Image Logo

Cosmetic Dentistry

Our tailored restorative and cosmetic treatments are designed just for you.

READ MORE
Treatment - NB Dental
Hover Image Logo

Teeth Straightening

Satisfaction and positive confidence with SureSmile.

READ MORE
Treatment - NB Dental
Hover Image Logo

Dental Implants

The number one solution for broken smiles.

READ MORE

Get in touch

To speak with a member of our team to arrange or cancel an appointment or to make an enquiry as a new or existing patient, please get in touch.

Instagram

Google Rating
4.8
Google Rating
google rating