Before
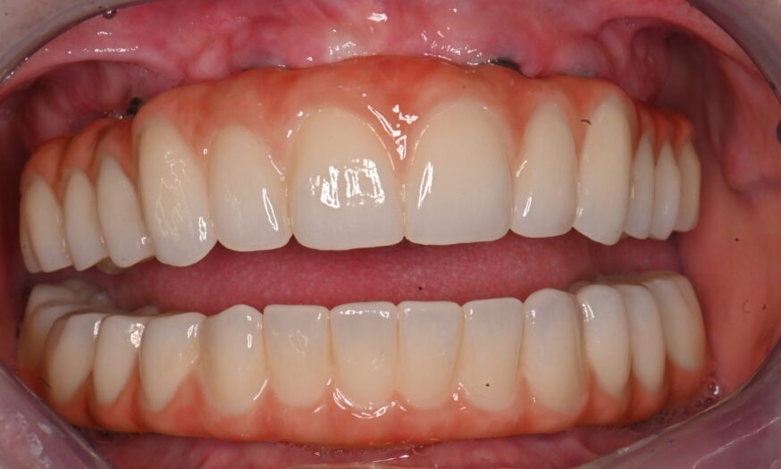
AfterThis patient was a complete upper and lower replacement case. The failing teeth were removed.
Using 6 upper implants and 4 lower implants, we were able to construct full upper and lower bridges to restore her smile and function.
Back to Smile Gallery
Nick and the team- thank you from the bottom of my heart. Your professionalism, patience and kindness are second to none. You put me at...
Thank you, treatment is still ongoing, everything going well so far, the staff are very welcoming, helpful and friendly which makes the dental visit a...
Nick was as lovely as ever. Very reassuring and kind.
I feel much more at ease now thinking about trips to the dentist and not going into a complete meltdown from fear.
Very happy with the sedation- I could not have endured the procedure without it!
He has helped me to overcome my fear of the dentist – he has always been so calm, non-judgemental and encouraging. Before him, I spent...
To speak with a member of our team to arrange or cancel an appointment or to make an enquiry as a new or existing patient, please get in touch.
